طرق علاج التهاب اللثة في المنزل
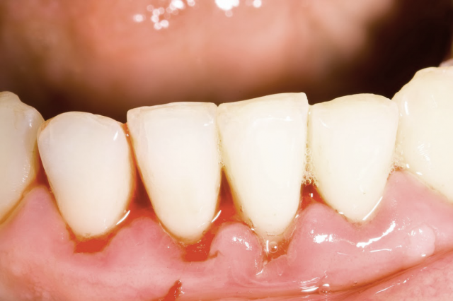
التهاب اللثة يؤثرعلى الجميع تقريبا، ولكن أعراضه الأولية تكون خفيفة وهي عدوى عن طريق الفم تتمثل في تورم اللثة ونزفها بسهولة ويتسبب في تراكم الترسبات والبلاك يتمثل في حشوات مجهرية من البكتيريا وجزيئات الطعام التي تتشكل في فمك كل يوم والبكتيريا تتكاثر وتنتج السموم المسببة لتهيج اللثة.
وأعراضها تهيج واحمرار وتورم وانتفاخ في اللثة ورائحة الفم الكريهة وانحسار اللثة وخاصة أثناء تنظيف الأسنان بالفرشاة أو الخيط.
هناك بعض العوامل التي يمكن أن تزيد من خطر التهاب اللثة منها الإفراط في التدخين، واستخدام التبغ، التقدم في السن ومرض السكري وبعض الأدوية والحشوات المكسورة والحمل والوراثة وجفاف الفم وسوء التغذية.
إليك هذه الوصفات المنزليه الطبيعيه التي ستخلصك نهائيا من مشكل إلتهاب اللثة (الأعشاب والمكونات متوفرة على موقع إي هيرب).
1- صودا الخبز:
صودا الخبز علاج فعال لالتهاب اللثة في المنزل مما يقلل من خطر تسوس الأسنان وهو يعمل بمثابة مطهر طبيعي للمساعدة في منع العدوى.
قومي بمزج 1/4 ملعقة صغيرة من صودا الخبز مع قليل من الماء الدافئ للحصول على عجينه، ضعي الخليط على اللثة واتركيه لمدة دقيقه أو دقيقتان ثم اشطفيه بالماء الدافئ. استخدامي هذا العلاج مرتين أو ثلاث مرات في الأسبوع.
2- عصير ليمون:
الليمون يحتوي على خصائص مضادة للجراثيم ومضاد للالتهابات تساعد في علاج أمراض اللثة. بالإضافة إلى ذلك، فهو يحتوي على فيتامين C والذي يساعد في محاربة العدوى.
امزجي عصير الليمون في كوب من الماء الدافئ واستخدمي الخليط كغسول للفم بعد تفريش أسنانك مرتين يوميا لتهدئة النزيف الناتج عن التهاب اللثة.
بدلا من ذلك امزجي القليل من الملح مع ملعقة كبيرة من عصير الليمون الطازج لصنع عجينه وضعي الخليط على اللثة واتركيها لبضع دقائق قبل الشطف مع الماء الدافئ. كرري هذه العملية 4 أو5 مرات في اليوم حتى تلاحظين تحسنا.
3- الصبار:
الألوة فيرا لديها خصائص مضادة للجراثيم والفطريات الفعاله جدا ضد التهاب اللثة فهي تمنع تراكم البكتيريا التي تسبب الترسبات مما تؤدي إلى الإلتهابات. بالإضافة إلى ذلك، يمكن أن تخفف من حدة الألم وتهدئة الأسنان الملتهبة واللثة.
استخرجي هلام الصبار وافركيه على اللثة المصابة واتركيه لمدة 10 دقائق والغرغرة بالماء البارد. كرري العمليه عدة مرات يوميا حتى تهدأ حالة.
4- النيم :
يستخدم هذا النبات في الهند لمختلف العلاجات لصحه الأسنان. يمكنك استخدام النيم في الفم أو حتى كمعجون للأسنان بسبب احتوائه على مضادة للميكروبات والخصائص المضادة للفطريات. كما أنه من أفضل العلاجات لالتهاب اللثه.
5- الكركم :
يحتوي الكركم على الكركمين الذي يحتوي على خصائص مضادة للأكسدة والمضادة للالتهابات فالكركمين يمكن أن يقلل بشكل فعال الألم والتورمات والتهابات في اللثة. وبالإضافة إلى ذلك يمكن أن يقلل النشاط البكتيري لمنع العدوى.
إصنعي عجينة من ملعقة صغيرة من مسحوق الكركم وملعقة صغيرة ونصف كل من الملح وزيت الخردل، ودلكيهاعلى أسنانك واللثة مرتين يوميا.
بدلا من ذلك إصنعي عجينة من بعض مسحوق الكركم والقليل من الماء وضعيه على فرشاة أسنانك الناعمه. قومي بالعمليه مرتين يوميا لمدة لا تقل عن ثلاث أسابيع.
6- الزيوت الطبيعيه :
الزيوت يمكن أن تساعد في الحد من البكتيريا التي تسبب التهاب اللثة وتساعد في الحفاظ على صحة الفم. قومي بوضع ملعقة كبيرة من زيت السمسم أو زيت جوز الهند في فمك وأسنانك لمدة 15 إلى 20 دقيقة، ثم يشطف جيدا بالماء الدافئ. قومي بالعمليه كل صباح وقبل تفريش أسنانك.
ملاحظة : لا للغرغرة أو ابتلاع الزيت.
7- الملح :
الملح هو علاج فعال جدا لالتهاب اللثة وذلك بسبب خصائصه المطهرة والمضادة للبكتيريا ويمكن أن يساعد في علاج تورم اللثة والإلتهاب. بالاضافة الى ذلك يمنع نمو البكتيريا في الفم.
أضيفي ملعقتين صغيرتين من الملح إلى كوب من الماء الفاتر، واستخدمي هذا المحلول الملحي لشطف فمك مرة واحدة كل صباح ومرة واحدة كل مساء حتى يتم تقليل تورم اللثة.
8- أوراق الجوافة :
تعتبر أوراق الجوافة فعالة لتقليل آلام الأسنان وأمراض اللثة وهي تحتوي على مضادات للأكسدة والمضادات للالتهابات ومضادات الميكروبات وخصائص مسكنة.
قومي بتنظيف القليل من الجوافة وتمضغ مرتين يوميا لمدة لا تقل عن بضعة أسابيع. بدلا من ذلك اطحني بعض أوراق الجوافة واستخدميها بمثابة معجون الأسنان. يمكنك أيضا استخدام غسول للفم يحتوي على مستخلص أوراق الجوافة.
9- القرنفل :
يمكنك أيضا استخدام القرنفل لعلاج التهاب اللثة فهو مطهر ومضاد للالتهابات ومضاد للأكسدة، كما أنه يحتوي على خصائص مسكنة.
ببساطة امضغي ثلاث فصوص يوميا لعلاج التهاب اللثة يمكنك أيضا فرك زيت القرنفل على لثتك وتركه لبضع دقائق ثم اشطفيه مع الماء الدافئ مرتين يوميا. اتباعي أي من هذه العلاجات يوميا حتى تحصلين على النتائج المرجوه.
10- النعناع :
نظرا لخواصه المضادة للبكتيريا والمطهره يستخدم النعناع أيضا في علاج التهاب اللثة ويمكن أيضا أن يقلل الالتهابات والبكتيريا التي تسبب رائحة الفم الكريهة.
انقعي بضعة أوراق النعناع في الماء لمدة 30 دقيقه ثم استخدميه لشطف فمك 2 أو 3 مرات يوميا. بدلا من ذلك أعدي كوب من شاي النعناع واشربيه بين الوجبات أو استخدميه كغسول للفم يمكنك أيضا استخدام معجون أسنان بنكهة النعناع لتنظيف أسنانك مرتين يوميا.
11- زيت شجرة الشاي :
زيت شجرة الشاي له خصائص المضادات الحيوية والمضادة للالتهابات. وبالتالي، يعتبر علاج لراحة سريعه لللثه المتهيجة والملتهبة. استخدمي معجون أسنان بمستخلصاة شجرة الشاي لتنظيف أسنانك يوميا إذا كان هذا المعجون غير متوفر لديك أظفى قطرة من زيت شجرة الشاي لمعجون الأسنانك العادي في كل مرة تقومين فيها بفرش أسنانك.
12- العسل :
العسل له خواص مضادة للطفيليات ويعتبر مطهر طبيعي ولذلك يستخدم في علاج التهاب اللثة. قومي بغسل أسنانك وضعي بعض من العسل على مكان الإصابة بلثتك. ونظرا لحتوئه على كمية كبيرة من السكر فاحرص على أن تضعه على لثتك فقط بعيدا عن أسنانك.

