فرشاة الأسنان تُنقِذ قلبك: ما علاقة تنظيف الأسنان بِصحة القلب؟
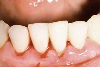
حذّرت دراسة حديثة من عادة قد تبدو بسيطة لكنها تحمل مخاطر صحية جسيمة وهيَّ عدم تنظيف الأسنان قبل النوم.
وأشارت الدراسة، التي أعدّها باحثون من جامعة هيروشيما ونشرتها مجلة Circulation، إلى أن إهمال نظافة الفم ليلاً لا يؤثر فقط على صحة الأسنان، بل قد يؤدي إلى اضطرابات خطيرة في القلب.
فقد تبين أن بكتيريا الفم المرتبطة بالتهاب اللثة، مثل: Porphyromonas gingivalis، قادرة على التسلل من الفم إلى مجرى الدم، لتستقر لاحقاً في القلب.
هذا الوجود البكتيري يعزز احتمالية الإصابة بالرجفان الأذيني، وهو خلل في نظم القلب قد يسبب سكتات دماغية أو أزمات قلبية مفاجئة.
والمثير أن الدراسة وفرت أول دليل مباشر على انتقال هذه البكتيريا إلى الأذين الأيسر، حيث يمكن أن تُحدث تليفًا يُعطل الإشارات الكهربائية داخل القلب، وسبق أن أظهرت أبحاث أخرى أن التهاب اللثة قد يزيد احتمال الإصابة بالرجفان الأذيني بنسبة تصل إلى 30%.
لذلك ينصح الأطباء بتفريش الأسنان صباحًا ومساءً واستخدام خيط التنظيف وغسول للفم، بالإضافة إلى استشارة الطبيب بصفة دورية.













